Its combination of rapid scan time, easy to use interface and immediate image viewing make CereTom® an indispensable tool for any clinician needing real time, high quality images.
Optimized For Use In
Features
Superior Image Quality
8 Slice, 17 lp/cm
- 1.25mm; 2.5mm; 5mm; 10mm Thickness
- 3Hu @ 3mm low contrast detectability
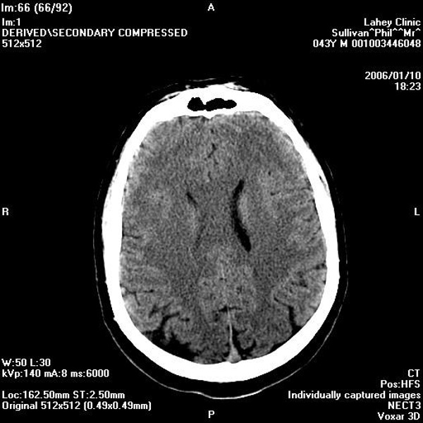
- 512 x 512 Image Resolution
Comprehensive Capabilities
- Non-Contrast CT
- CT Angiography
- CT Perfusion
Broad Flexibility
- Integrates with all ICU
beds and hospital gurneys
- Reduces need for transportation of the patient
- Safe for use in patient rooms
Easy Integration
- DICOM 3 Certified
- Compatible with all PACS
- Cable or Wireless connectivity to PACS
- Complete Modality Worklist
Dimensions

Clinical Images
Intraoperative Applications
Doro CereTom® Intraoperative Head Fixation Solution
When combined with the DORO CereTom® Radiolucent Skull Clamp and Horseshoe, the CereTom® portable CT scanner provides reliable head fixation and rapid, high quality intraoprative imagin capabilities for a variety of neurosurgical procedures.
Stereotactic Applications
With a 32cm bore and a 25cm field of
view, a wide range of stereotactic frames are compatible for use with the CereTom® , allowing for patient scans to occur on the operating table with a stereotactic frame attached as opposed to transporting the patient. The CereTom® is also the ideal imaging solution for a number of frameless stereotactic procedures.
Navigation Compatibility
Intraoprative navigation is a necessary tool in the successful planning and execution of surgical procedures. CereTom® produces DICOM 3 compliant images and those images have been validated for use with navigation systems from BRAINLab, Medtronic, Stryker and Radionics. This integration is critical in providing the most up-to-date information and reduces the need for the patient to travel outside to the OR for completion of the case.
Literature
Accessories
Accessories include:

Bed Adapters and Scan Boards

Infant/Pediatric Platforms

CereTom® Imaging Cart

Scanner Drive System

Optistat Handheld Power Injector

RadRedux

Contrast and CT Angiography with Bolus Tracking










.jpg)








Tìm kiếm nâng cao